Mempunyai anak boleh memgubah hidup kita, tapi bagi Susan O’Flanagan, ia menyelamatkan nyawanya. Pada pemeriksaan rutin 20 minggu sonogram, doktor telah menjumpai ketulan sebesar 14sm di buah pinggang kanannya. Mereka memberitahu yang dia mempunyai tumor dalam kandungan sebesar bayinya.
Dia juga diberitahu, sebagai langkah keselamatan dan untuk menyelamatkan nyawanya, dia mungkin harus menggugurkan anaknya.
Tumor dalam kandungan mengundang rasa takut pada wanita ini
“Nasib doktor menemukan tumor itu kerana Archie sedang berbaring di kedudukan yang terbalik. Jadi, doktor perlu tengok di kedudukan yang lain untuk mengukur kepalanya,” Susan memberitahu kepada akhbar tempatan.
“Ketika doktor memberitahu yang dia terjumpa ketulan di situ, saya berasa takut,” tambah Susan.

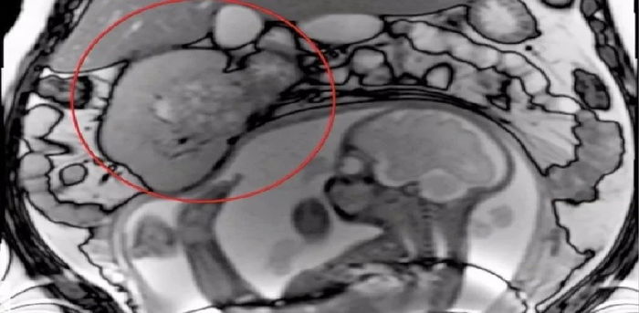
Imbasan MRI menunjukkan tumor tersebut betul-betul bersebelahan anaknya. | Kredit gambar: SWNS/screengrab
Tumor dalam kandungan Susan itu turut memeranjatkan pekerja di Guy’s and St Thomas’ Hospital. Semasa pemeriksaan, mereka mendapati yang mereka tidak boleh menggunakan imbasan CT ataupun biopsibuntuk mengesan punca tumor tersebut.
Mereka ingin memastikan yang ianya bukan kanser sebelum mereka membuangnya. Jadi mereka membuat keputusan untuk tunggu sehingga anaknya lahir.
Susan menerangkan mengapa perkara itu terjadi. “Nasib baik imbasan MRI biasa menunjukkan tumor tersebut tidak membesar dan pasukan di Guy’s and St Thomas membuat keputusan yang saya tetap masih selamat untuk hamil sambil dipantau dengan teliti.
Semakin anak saya membesar, tekanan dari tumor telah menyukarkan kandungan saya. Ia menjadi tidak selesa dan sakit, dan saya rasa sakit sepanjang masa.”
“Salah satu imbasan juga menunjukkan anak saya menendang tumor itu.” Dia menambah.
Walaupun dia berkata yang dia tiada sebarang simptom kanser, tumor tersebut adalah kanser dan jika ia bukan kerana anaknya, dia tak akan tahu.
Baby Archie selamatkan ibunya dari kanser dan tumor dalam kandungan
“Jika saya tidak hamil, saya mungkin dapat tahu apabila ia sudah di peringkat yang bahaya. Saya tak rasa Archie sedar betapa istimewanya dia.”
Pada minggu ke 34, Susan telah di-induce dan Archie lahir ke dunia. Empat minggu selepas kelahiran, ahli medik telah menggunakan pembedahan robotik untuk membuang tumor tersebut dari buah pinggang kanannya.
The Mirror melaporkan doktor telah melihat kamera kecil di hujung tangan dan tengok dalaman pesakit. Mesin tersebut memberikan imej 3D HD semasa pembedahan, menghapuskan gegaran dan meningkatkan rangkaian pergerakan.
Tumor dalam kandungan adalah kes luar biasa, kata doktor
Ben Challacombe, konsultan pakar bedah urologi di Guy’s and St Thomas’, memberitahu, “Ini adalah kes yang sangat luar biasa – biasanya kami menjalankan pembedahan robotik sebanyak 450 kes setahun di Guy’s and St Thomas’ ia merupakan sebahagian besar dari program pembedahan robotik kami, tapi ini sesuatubyang berbeza dari apa yang kami lakukan sebelum ini.”
Dia menambah, “Kanser buah pinggang adalah kanser yang pelik bagi wanita muda dan lagi pelik apabila Susan hamil.”
Susan bernasib baik kerana kansernya tidak merebak ke bahagian badan yang lain dan semua ujian mengatakan yang dia bebas kanser. Tapi kisahnya memberitahu betapa pentingnya imbasan semasa hamil.
Jika ia bukan kerana kandungannya dan imbasan dari medik tidak mengesan tumor dalam kandungannya, kita tak tahu apa yang akan terjadi.
Peringatan: Anda tidak dibenarkan menyiar artikel ini di mana-mana laman web atau status Facebook yang lain, tanpa pemberian kredit dan pautan yang tepat lagi berfungsi pada artikel asal di laman theAsianparent Malaysia
Sumber rujukan: theAsianparent Singapore
Baca juga:
Perkongsian ibu ini menyelamatkan nyawa anak orang lain dengan kanser mata!
Ada isu keibubapaan yang buat anda risau? Jom baca artikel atau tanya dan dapat terus jawapan dalam app theAsianparent kami! Download theAsianparent Community di iOS dan Android sekarang!