Isu penyakit difteria kanak-kanak tidak sewajarnya diambil ringan. Gempar sebelum ini apabila seorang budak berusia 2 tahun 1 bulan maut di Johor kerana tidak divaksin.
Sebelum ini, seorang budak lelaki telah meninggal dunia di Hospital Miri, Sarawak, akibat penyakit difteria kanak-kanak juga.
Menurut Ketua Pengarah Datuk Dr Noor Hisham Abdullah, kanak-kanak yang baru berusia 2 tahun itu terjangkit penyakit difteria kerana tidak diberi vaksin sejak lahir, atas sebab-sebab agama.
Sebelum meninggal budak lelaki itu telah demam, batuk-batuk, selesema dan menghadapi masalah pernafasan.
Sebanyak 32 kes penyakit difteria kanak-kanak telah dilaporkan di Malaysia sejak tahun 2017. 7 kes dari jumlah itu telah berakhir dengan kematian kerana kebanyakan mereka tidak diberi vaksin.
Apa Penyebab Penyakit Difteria Kanak-Kanak?
Sumber gambar: Laman FB Dr Zubaidi Hj Ahmad
Difteria adalah jangkitan yang disebabkan oleh bakteria “Corynebacterium diphtheria”.
Bakteria ini mengeluarkan toksin difteria yang boleh membawa maut kerana ia boleh menyebabkan kegagalan fungsi jantung, kegagalan fungsi saraf dan kegagalan pernafasan.
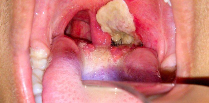
Penyakit difteria kanak-kanak selalu menjangkiti tekak, iaitu bahagian tonsil, farinks, larinks dan hidung). Rupanya seperti lapisan selaput nanah berwarna kelabu-kehijauan pada saluran kerongkong pesakit sehingga jauh ke dalam saluran pernafasan atas.
Penyakit ini senang tersebar melalui titisan cecair (batuk/bersin) dan sentuhan fizikal. Tempoh penahanan di rumah ialah selama 2-5 hari ataupun lebih lama.
Kanak-kanak yang senang terjangkit adalah mereka yang dibawah usia 15 tahun yang belum mendapat imunisasi.
Tanda-tanda Penyakit Difteria

- Demam
- Sakit tekak
- Lapisan selaput nanah berwarna kelabu-kehijauan pada saluran kerongkong
- Sakit ketika menelan atau bengkak bahagian leher
- Masalah pernafasan
Tapi, kadang-kadang doktor pun boleh terlepas pandang penyakit difteria kanak-kanak apabila pesakit hanya menunjukkan tanda-tanda demam atau sakit tekak biasa yang tidak serius.
Penyakit difteria kanak-kanak hanya dapat dikenalpasti pada peringkat awal dengan mengambil sampel kuman dari pesakit dan diuji di makmal.
Namun, doktor akan mulakan rawatan awal pada pesakit yang disyaki kerana penyakit difteria boleh menjadi teruk dalam masa yang singkat.
Rawatan Untuk Anak Yang Ada Penyakit Ini

- Antitoksin untuk mengawal penularan toksin difteria di dalam darah(diberikan serta-merta selepas sampel diambil tanpa menunggu keputusan tetapi tidak semua pusat perubatan mempunyai antitoksin ini).
- Eritromisin dan Penisilin untuk mengawal bakteria.
- Pesakit akan memerlukan pemantauan dan dikuarantinkan untuk mengelak penyakit ini dari tersebar.
Tapi malangnya antitoksin ini tidak akan memusnahkan semua toksin yang sudah ada di dalam badan, maka penyakit ini boleh berulang.
Oleh itu langkah pencegahan yang paling berkesan ialah untuk mendapatkan vaksin difteria yang diberi serentak dengan imunisasi penyakit polio dan tetanus untuk bayi pada berusia 2 bulan, 3 bulan dan 5 bulan (semuanya 3 dos) dan dos booster pada usia 18 bulan dan 7 tahun.
Jangan bimbang jika anak sudah besar tetapi masih belum mendapat vaksin difteria kerana vaksin ini boleh di beri kepada remaja mahupun orang dewasa.
Bincanglah dengan doktor untuk mengetahui dengan lebih lanjut bagaimana anak anda boleh diberi vaksin untuk penyakit difteria kanak-kanak.
Semoga perkongsian ini bermanfaat untuk dijadikan peringatan dan pengajaran buat ibu bapa di luar sana.
Peringatan: Anda tidak dibenarkan menyiar artikel ini di mana-mana laman web atau status Facebook yang lain, tanpa pemberian kredit dan pautan yang tepat lagi berfungsi pada artikel asal di laman theAsianparent Malaysia
Gambar diambil dari kpkesihatan.com
Baca juga: Mahu Anak Cepat Tangkap Bila Belajar, Kena Pastikan Anak Sentiasa Sihat, Ini Caranya!
Ada isu keibubapaan yang buat anda risau? Jom baca artikel atau tanya dan dapat terus jawapan dalam app theAsianparent kami! Download theAsianparent Community di iOS dan Android sekarang!