TAP top app download banner
theAsianparent
theAsianparent
EnglishMalay
Panduan Produk
  • Menjadi ibu bapa
  • Anak
  • Keibubapaan
  • Kesihatan
  • Penyusuan & Pemakanan
  • Pendidikan
  • Gaya Hidup
  • TAP Cadangan
  • #PendidikanKewangan
  • Beli-Belah
  • VIP
  • Siaran Media
  • Beriklan Dengan Kami
  • Komuniti
Log Masuk
  • EnglishMalay
    • Artikel
  • Menjadi ibu bapaMenjadi ibu bapa
  • AnakAnak
  • KeibubapaanKeibubapaan
  • KesihatanKesihatan
  • Penyusuan & PemakananPenyusuan & Pemakanan
  • PendidikanPendidikan
  • Gaya HidupGaya Hidup
  • TAP CadanganTAP Cadangan
  • #PendidikanKewangan#PendidikanKewangan
  • Beli-BelahBeli-Belah
  • VIPVIP
  • Siaran MediaSiaran Media
  • Beriklan Dengan KamiBeriklan Dengan Kami
  • KomunitiKomuniti
    • Komuniti
  • Poll
  • Gambar
  • Makanan
  • Resipi
  • Topik
  • Baca Artikel
    • Tracker
  • Tracker Kehamilan
  • Tracker Bayi
    • Ganjaran
  • GanjaranGanjaran
  • Pertandingan
  • VIP ParentsVIP Parents
    • Lagi
  • Maklum Balas

Polisi PrivasiGaris Panduan KomunitiPeta Laman Web

Muat turun app percuma kami

google play store
app store

Ibu Biar Ruam Lampin Anak Makin Teruk Hingga Bayi Itu Maut!

3 min bacaan
Ibu Biar Ruam Lampin Anak Makin Teruk Hingga Bayi Itu Maut!

Seorang bayi berusia empat bulan ditemui meninggal dalam buaian bayi dalam keadaan penuh dengan ulat. Bayi ini dipercayai mati kerana ruam lampin.

Kita tahu kepentingan mencegah ruam lampin pada bayi, lebih-lebih lagi pada bayi baru lahir. Tapi, tahukah anda – ruam yang dibiarkan boleh menyebabkan masalah kesihatan yang teruk?

Jangkitan bakteria pada bayi yang masih kecil adalah sangat bahaya kerana sistem imunisasi mereka masih belum matang dan mereka boleh sakit dengan cepat.

Kebanyakkan dari kita mungkin dah biasa menangani ruam pada anak. Tapi, ada juga ibu bapa yang sengaja mengabaikan ruam lampin pada bayi sehingga ia boleh membawa maut!

Ibu bapa gagal tangani ruam lampin buat bayi meninggal

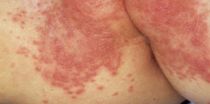
ruam lampin, ruam lampin pada bayi, cara mencegah ruam lampin, merawat ruam lampin, cara merawat ruam lampin bayi, ruam lampin bayi

Kredit Gambar: Twitter

Seorang bayi berusia empat bulan di Amerika Syarikat telah ditemui mati tahun lepas dipenuhi ulat di rumah ibu bapanya. Ketika dijumpai, mayat bayi ini masih di dalam buaian.

Menurut Penolong Peguam Negara, bayi ini meninggal kerana ruam lampin dan ibu bapanya telah didakwa dengan pembunuhan darjah pertama.

Ibunya Cheyyanne Harris, 20, dan bapa, Zacharu Koehn, 28 telah meninggalkan bayi mereka “memakai lampin yang tak ditukar lebih seminggu.”

Menurut laporan, lampin ini dipenuhi dengan najis yang menyebabkan infestasi ulat dan jangkitan E-Coli.

“Penyelidikan tentang pertumbuhan ulat dan perkembangannya menunjukkan yang kanak-kanak ini tak ditukarkan lampin, tak dimandikan atau tak dialihkan dari tempat duduk selama lebih seminggu.”

ruam lampin, ruam lampin pada bayi, cara mencegah ruam lampin, merawat ruam lampin, cara merawat ruam lampin bayi, ruam lampin bayi

Kredit gambar: Twitter

Apabila pasukan penyelamat menemui bayi ini, mereka menerangkan yang persekitaran tempat tersebut sebagai “panas… dan ada bau busuk air kencing”.

Keadaan bayi ini sangat teruk hingga pasukan penyelamat tak boleh melakukan apa-apa untuk menyelamatkannya.

“Matanya terbuka,” kata salah seorang penyelamat. “Ini bukan keadaan bayi yang boleh saya lakukan CPR.”

Ibu bapa kepada bayi ini juga ditemui dalam rumah tersebut dan kelihatan sangat tidak terurus.

Kes ini ternyata merupakan kes pengabaian dan penderaan yang sangat ekstrem, ruam lampin adalah sangat serius dan ibu bapa jangan ambil mudah tentang perkara ini.

Bagaimana nak cegah ruam lampin dari melarat?

Ruam lampin adalah normal dalam 15 bulan pertama kehidupan bayi. Memastikan kemaluan bayi anda sentiasa kering adalah kunci utama untuk mencegah ruam ini.

Apa penyebab ruam lampin?

  • Pendedahan terlalu lama kepada najis, lebih-lebih lagi jika bayi cirit-birit.
  • Penukaran komposisi najis apabila bayi diberikan makanan baru atau makanan pejal.
  • Tukar jenama lampin atau tisu basah, baby oil, bedak atau losyen, sabun basuh baju atau peluntur baju.
  • Beberapa makanan yang ibu makan jika menyusu bayi.
  • Kulit yang sangat sensitif
  • Baju yang ketat atau menggosok atau menggaru kulit.

Merawat ruam lampin di rumah

ruam lampin, ruam lampin pada bayi, cara mencegah ruam lampin, merawat ruam lampin, cara merawat ruam lampin bayi, ruam lampin bayi

Mulakan dengan membasih kemaluan bayi anda dengan air suam dan perlahan-lahan keringkan kawasan tersebut (jangan menggosok kulit bayi anda dengan tuala kerana ini mungkin akan buat ruam menjadi lebih teruk).

Letakkan krim anti-ruam atau jeli petroleum, lebih-lebih lagi di celah kangkang. Jauhkan dari bedak talkum.

Jangan lupa untuk menukar lampin bayi anda selalu dan pastikan bayi anda sentiasa bersih dan kering!

 

 

 

 

 

 

 

Peringatan: Anda tidak dibenarkan menyiar artikel ini di mana-mana laman web atau status Facebook yang lain, tanpa pemberian kredit dan pautan yang tepat lagi berfungsi pada artikel asal di laman The Asianparent Malaysia

Artikel asal ditulis oleh Sarah Voon dan mendapat izin theAsianparent Singapore untuk diterjemah

Baca juga:

3 kesalahan ibu bapa yang boleh menyebabkan ruam lampin pada bayi

Stories Rakan Kongsi
Perlukah Anda Melahirkan Secara Caesarean? Ketahui Fakta Penting Ini
Perlukah Anda Melahirkan Secara Caesarean? Ketahui Fakta Penting Ini
Baby Skin Care: Tips Memastikan Kulit Si Manja Lembut dan Selamat Dengan Produk Organik Terbaik
Baby Skin Care: Tips Memastikan Kulit Si Manja Lembut dan Selamat Dengan Produk Organik Terbaik
Nak Balik Kampung? Ini 5 Barang Wajib Ada Untuk Si Manja Anda
Nak Balik Kampung? Ini 5 Barang Wajib Ada Untuk Si Manja Anda
Tepuk Ria Untuk Perut Lebih Lembut Dengan Gentle Sheep Toddler Milk!
Tepuk Ria Untuk Perut Lebih Lembut Dengan Gentle Sheep Toddler Milk!

Ada isu keibubapaan yang buat anda risau? Jom baca artikel atau tanya dan dapat terus jawapan dalam app theAsianparent kami! Download theAsianparent Community di iOS dan Android sekarang!

img
Penulis

Nadia Ghafar

  • halaman rumah
  • /
  • Tip keibubapaan
  • /
  • Ibu Biar Ruam Lampin Anak Makin Teruk Hingga Bayi Itu Maut!
Kongsikan:
  • Sentuhan Selamat Dan Tidak Selamat Untuk Anak Kecil Tahu, Wajib Ajar Seawal Usia Mereka 3 Tahun

    Sentuhan Selamat Dan Tidak Selamat Untuk Anak Kecil Tahu, Wajib Ajar Seawal Usia Mereka 3 Tahun

  • Anak Mengamuk, Menjerit & Tak Dengar Kata? Kajian Dapati Skrin Boleh Rosakkan Tingkah Laku Si Manja!

    Anak Mengamuk, Menjerit & Tak Dengar Kata? Kajian Dapati Skrin Boleh Rosakkan Tingkah Laku Si Manja!

  • Perlukah Anda Melahirkan Secara Caesarean? Ketahui Fakta Penting Ini
    Stories Rakan Kongsi

    Perlukah Anda Melahirkan Secara Caesarean? Ketahui Fakta Penting Ini

  • Sentuhan Selamat Dan Tidak Selamat Untuk Anak Kecil Tahu, Wajib Ajar Seawal Usia Mereka 3 Tahun

    Sentuhan Selamat Dan Tidak Selamat Untuk Anak Kecil Tahu, Wajib Ajar Seawal Usia Mereka 3 Tahun

  • Anak Mengamuk, Menjerit & Tak Dengar Kata? Kajian Dapati Skrin Boleh Rosakkan Tingkah Laku Si Manja!

    Anak Mengamuk, Menjerit & Tak Dengar Kata? Kajian Dapati Skrin Boleh Rosakkan Tingkah Laku Si Manja!

  • Perlukah Anda Melahirkan Secara Caesarean? Ketahui Fakta Penting Ini
    Stories Rakan Kongsi

    Perlukah Anda Melahirkan Secara Caesarean? Ketahui Fakta Penting Ini

Feed

Feed

Dapatkan artikel yang bersesuaian tentang keibubapaan, gaya hidup, dan pendapat pakar, hanya di hujung jari anda!

Poll

Poll

Sertai poll yang menarik dan lihat apa ibu bapa lain fikir

Gambar

Gambar

Kongsi gambar insan tersayang anda secara selamat.

Topik

Topik

Sertai komuniti kami untuk lebih rapat dengan ibu atau ayah lain.

Tracker

Tracker

Pantau kehamilan anda, malah juga tumbesaran bayi dari hari ke hari!

theAsianparent

Muat turun app percuma kami

Google PlayApp Store

Ibu di Seluruh Dunia

Singapore flag
Singapore
Thailand flag
Thailand
Indonesia flag
Indonesia
Philippines flag
Philippines
Malaysia flag
Malaysia
Vietnam flag
Vietnam

Partner Brands

Rumah123VIP ParentsMama's ChoiceTAP Awards

© Copyright theAsianparent 2026 . All rights reserved

  • Tentang Kami
  • Polisi Privasi
  • Terma dan Syarat
  • Peta Laman Web
  • Alat
  • Artikel
  • Feed
  • Poll

Kami menggunakan kuki supaya anda dapat pengalaman terbaik. Belajar LebihOkay, Faham

Kami menggunakan kuki supaya anda dapat pengalaman terbaik. Belajar LebihOkay, Faham